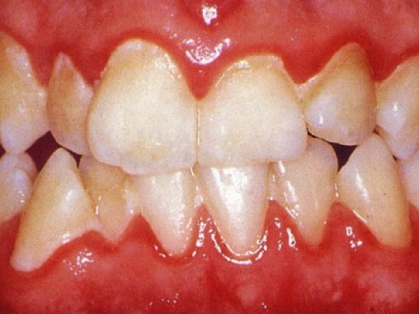
كيف تقضي نهائيا على نزيف اللثة؟

alarab
منوعات 01 أغسطس 2016 , 12:19م
متابعات
نزيف اللثة مشكلة تؤرق الكثيرين خاصة أثناء تنظيف الأسنان بالفرشاة  وتوجد عدة طرق طبيعية تحافظ على اللثة وتمنع نزيفها.

طرق علاج نزيف اللثة :
الصبّار
 يُستخدم هلام الصبّار عادة مع مشاكل الجلد، لكن يمكن أيضاً استخدامه لشفاء جروح ونزيف اللثة. يمنع هلام الصبّار تورم والتهاب اللثة، وتستطيع المادة الصمغية التي يحتويها وقف النزيف بشكل فعّال.

أوراق الجوافة
من أفضل العلاجات المنزلية لنزيف اللثة. امضغ بعض أوراق الجوافة لمنع تورّم اللثة، ووقف النزيف. اشطف فمك بالماء والملح بعد مضغ الأوراق. تحتوي أوراق الجوافة على مضادات للأكسدة تمنع الالتهاب، وتشفي الجروح، وتساعد أنسجة اللثة على استعادة حيويتها.

الكركم
 اخلط ملعقة صغيرة من الكركم مع نصف ملعقة من ملح الطعام ونصف ملعقة من زيت الخردل، وضع الخليط على اللثة مباشرة مرتين في اليوم. يعتبر هذا الخليط من أكثر العلاجات التي تمنع التهاب اللثة، وتشفي أنسجتها، وتوقف النزيف بسرعة.


م.ب/م.ب